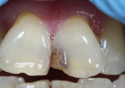
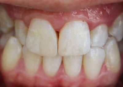
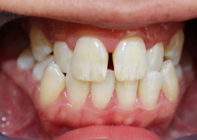
Bonding
Instead of veneers, discoloured, chipped and fractured tooth can be repaired with tooth coloured composite resin in a single visit.
Where can it be used?
1. To improve the appearance of discoloured teeth.
2. To close the spaces between the teeth.
3. To change the shape and colour of teeth.
4. To change the size of the teeth.
5. As a transitional option before getting veneers.
2. To close the spaces between the teeth.
3. To change the shape and colour of teeth.
4. To change the size of the teeth.
5. As a transitional option before getting veneers.
Advantages
1. Economical and easy to carry out.
2. No preparation required.
3. No impressions required.
4. Can be finished in a single visit.
5. Shorter waiting time.
6. Can be used before getting veneers.
2. No preparation required.
3. No impressions required.
4. Can be finished in a single visit.
5. Shorter waiting time.
6. Can be used before getting veneers.
Disadvantages of PFM’s
1. Chipping when undue forces are applied.
2. Staining due to tea, coffee, smoking and alcohol consumption.
3. Requires repair when chipped.
2. Staining due to tea, coffee, smoking and alcohol consumption.
3. Requires repair when chipped.
Consultation
During the consultation, the dentist will first listen to your concerns, and expectations and later will carry out an intraoral examination. If the dentist thinks bonding is appropriate for you, he/she will describe the procedure, advantages and disadvantages and will let you make an informed decision. Once you make a decision, a tailored made treatment plan will be made for you. During this visit, photos and radiographs will be taken to check the existing status of the teeth.
If the dentist notices any signs of gum disease, treatment cannot be commenced immediately. Gum disease should be treated first before carrying out any treatment. Your dentist will give you an oral hygiene plan and as a part of this plan, you may need to attend the hygienist.
If you want whiter teeth and opt not to have all teeth bonded, you may need tooth whitening of other teeth before treatment commences and has to keep with a tooth whitening schedule in the future. The costs of tooth whitening will be additional to bonding.
Procedure
1. The shade of the tooth is chosen with the help of the shade guide.
2. All the sharp enamel is taken away and the tooth is roughened.
3. Tooth will be etched and bonded and light cured.
4. Different shades of composite will be placed in increments, shaped and cured to set the composite.
5. Once it is set, occlusion will be checked, adjusted and polished.
2. All the sharp enamel is taken away and the tooth is roughened.
3. Tooth will be etched and bonded and light cured.
4. Different shades of composite will be placed in increments, shaped and cured to set the composite.
5. Once it is set, occlusion will be checked, adjusted and polished.
After care instructions
1. Avoid eating food that can stain the composite for the first few days to minimize the staining of the composite.
2. Stop the habits like biting nails or anything hard that can chip the bonding away.
3. Regular hygienist appointment is recommended to keep good oral health.
2. Stop the habits like biting nails or anything hard that can chip the bonding away.
3. Regular hygienist appointment is recommended to keep good oral health.
Our Info
Claremont Dental Practice,
1-3 Terminus Buildings,
Claremont Road,BN25 1NT
Tel: 01323 897502
E-mail: cd@claremontdental.org
© 2020 Claremont Dental Practice.
useful links
Last updated on August 18th, 2024
