Root canal Treatment (Endodontic Therapy)

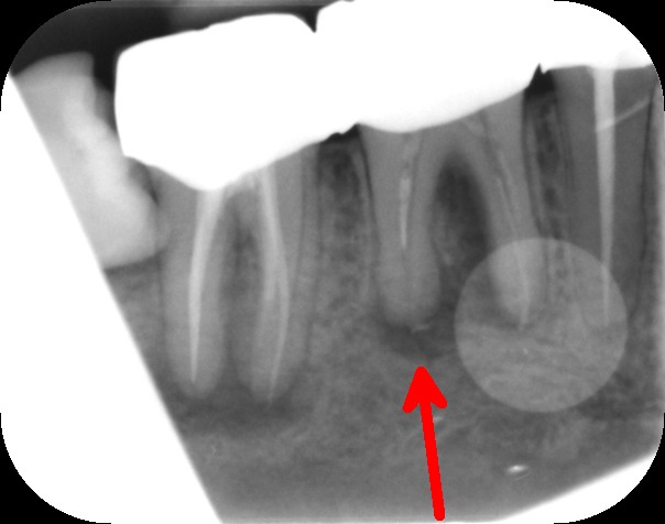
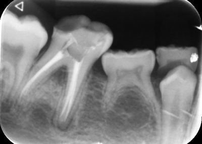
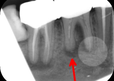
Pathological changes occur in the tooth due to trauma or caries progression which can, in turn, cause bacteria to invade the root canal system.

Main goal of root canal treatment
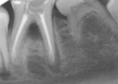
The main goal of endodontic therapy is to remove necrotic pulp tissues, to eliminate or significantly reduce microorganisms and their toxic products from the canals and also to prevent inflammatory lesion in the periapical area. Endodontic therapy protects the tooth from further invasion from microorganisms. If the tooth is left without treating, the infection may spread and cause pain and swelling.
Identifying the right tooth
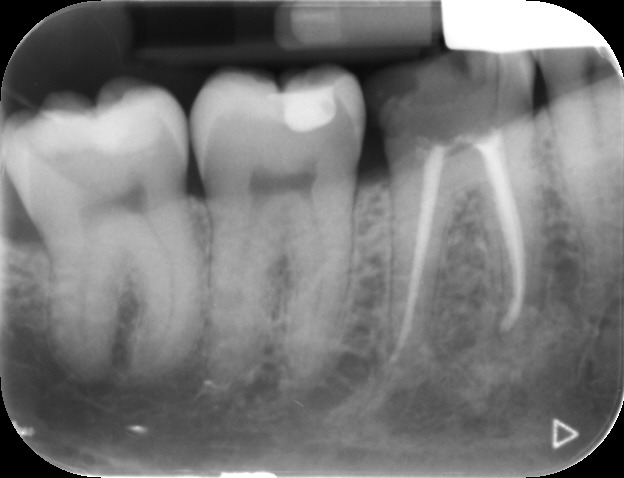
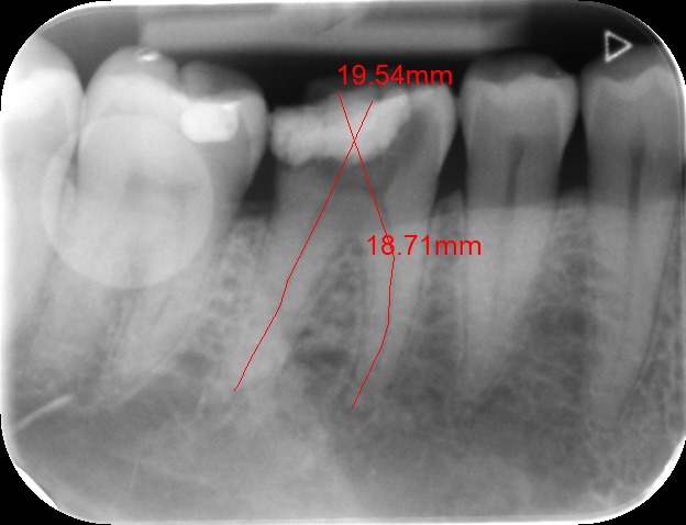
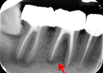
During the consultation, the dentist will first listen to your concerns and carry out appropriate tests to identify the right tooth that is causing pain. As a part of the diagnosis, your dentist will carry out various clinical tests to identify the right tooth and will take some radiographs which can aid in the diagnosis.

Once the right tooth is identified, the dentist will go through different options to treat this tooth. If you decide to save the tooth with root canal treatment, the dentist will discuss the procedure of root canal treatment, complications involved with the treatment, advantages and disadvantages and will let you make an informed decision.

Once you make a decision, a tailored made treatment plan will be made for you.

What does the procedure with root canal treatment involve?
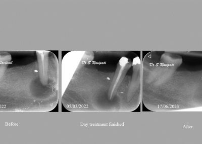
Once the treatment plan is agreed and signed, the treatment commences.

Before commencing the treatment, a local anaesthetic is administered and later a protective non-latex rubber sheet is placed around the tooth to prevent saliva contaminating the tooth and at the same time improves patients comfort.

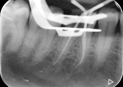
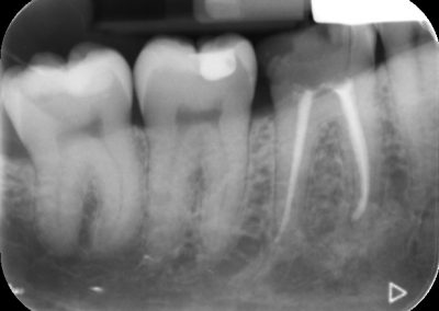
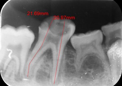
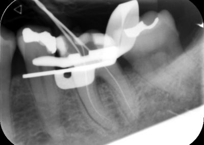
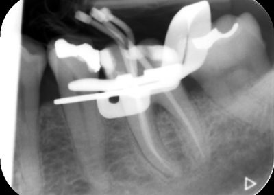
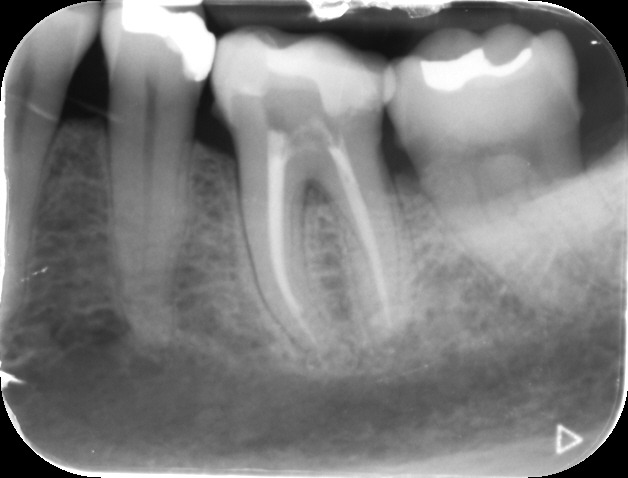
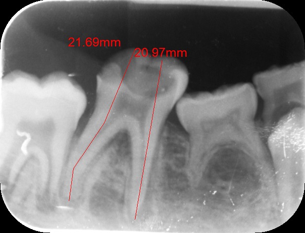
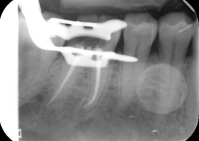
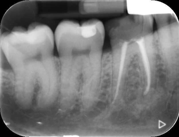
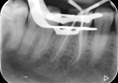
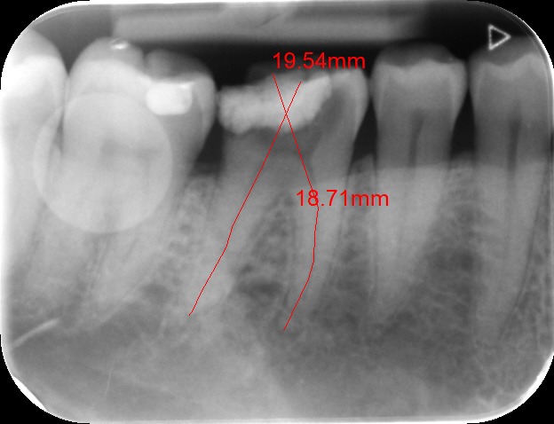
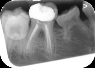
An access cavity is placed on the surface where the patient bites, to reach the root canals of the tooth. Once all the canals are identified, small files are used to remove the infected pulp.

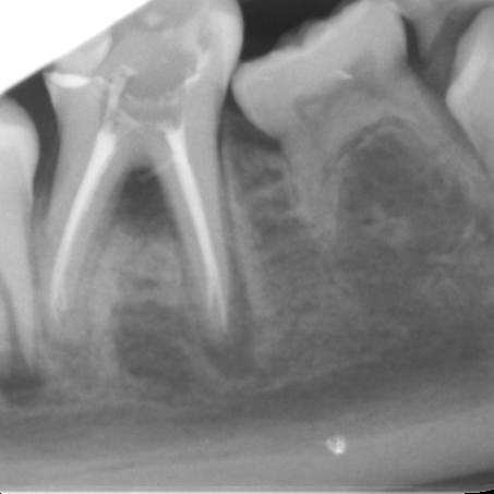
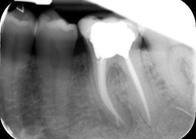
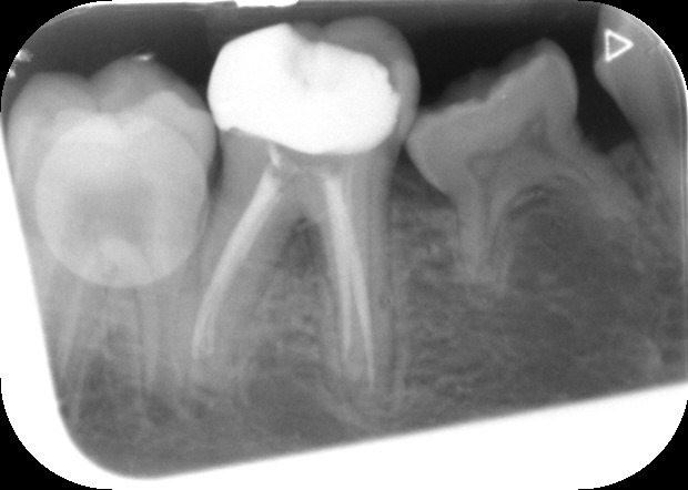
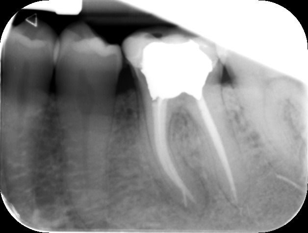
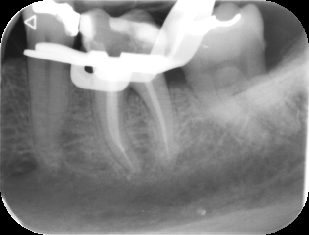
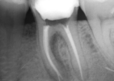
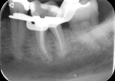
Files of different sizes are used to eliminate bacteria and infection and to shape the canals. The canals are disinfected thoroughly with irrigants and later the canals will be sealed in 3 dimensions with a special medicament called gutta-percha to prevent reinfection of the tooth and the access cavity will be sealed with a temporary filling.

How is the tooth protected after the root canal treatment?

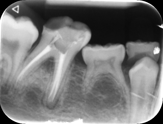
After a few weeks, the tooth will be checked and when all the infection has cleared, a crown will be usually required to protect the restore the tooth to function.

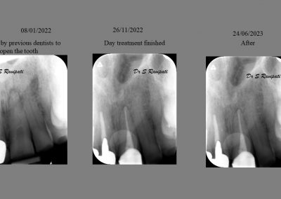
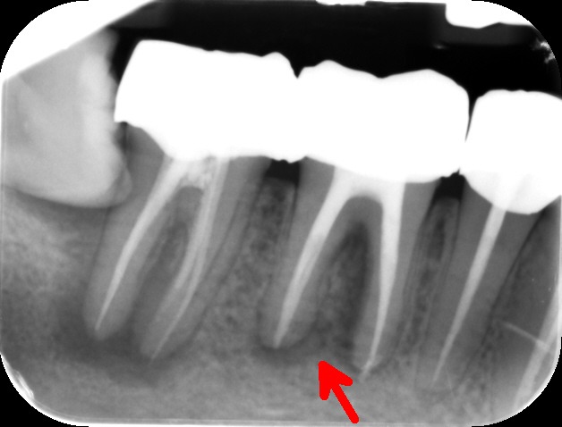
How successful is the root canal treatment?
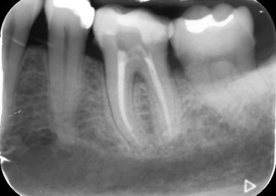
Studies have shown thorough cleaning with instruments, disinfection and sealing the canals contribute to the successful healing of the infection and this success is reported as 95%.
What are the alternatives to root canal treatment?
Taking the tooth out is the option as the necrotic pulp does not heal. The infection can spread into the body if the infected tooth is left in the mouth.

Our Info

Claremont Dental Practice,

1-3 Terminus Buildings,

Claremont Road,BN25 1NT

Tel: 01323 897502

E-mail: cd@claremontdental.org

© 2020 Claremont Dental Practice.

 

Last updated on August 28th, 2024